媒体报道
【巡诊项目纪实】生死时速!“院包区”支援带来生命的曙光——巡诊项目社区绿色通道救治农村大面积肺栓塞老年患者纪实(2024.07.05 北京市社区卫生协会)
2024年6月21 日中午,平谷区峪口镇,一场与死神赛跑的较量正在进行。

当地村民刘大爷在家中突发呼吸困难、胸闷、腹痛、恶心等症状,患者家属紧急联系定期在峪口中心卫生院支援的北京友谊医院心内科何晓全大夫,何大夫根据前期对该患者病情的诊疗,初步判断患者为肺动脉栓塞,他立即安排患者通过社区绿色转诊通道上转至北京友谊医院。

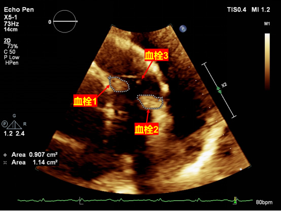
当急救车到达友谊医院时,患者已经进展为呼吸衰竭,严重缺氧,生命危在旦夕。友谊医院紧急协调,完善患者超声检查,显示右心室流出道-肺动脉内异常回声,考虑多发血栓。血管外科、麻醉科紧急于当晚21点为患者进行经皮穿刺下腔静脉滤器植入术+肺动脉造影+置管溶栓术。术后患者胸闷,腹痛症状完全缓解,低氧及呼吸衰竭纠正,5天后刘大爷顺利出院。
与时间赛跑,与死神较量。面对凶险的肺栓塞,平谷区峪口中心卫生院通过巡诊项目“院包区”机制与北京市友谊医院紧密配合,完成无缝对接,短时间内完成转诊,成功使患者转危为安。这是北京市优质医疗资源下沉支援农村的典型范例,更是北京市卫生健康委“院包区”支援的成功缩影。
根据北京市卫生健康委巡诊项目安排,北京友谊医院“院包区”负责支援平谷区乡镇卫生院。按照峪口中心卫生院需求,友谊医院心内科何晓全医生从2023年初开始,坚持每月两次在峪口中心卫生院出诊。同时,通过巡诊项目开设的“互联网健康乡村门诊”,他每月两次为卫生院进行远程会诊。这种“线下+线上”的组合支援方式,使当地居民得到及时的优质医疗服务。
此次抢救成功的刘大爷,曾因反复左下肢肿胀多处就医,多次检查了心脏、肾脏、肝脏及下肢血管超声等仍未明确病因,多种药物治疗效果不理想。后听闻平谷区乡镇卫生院定期有来自北京友谊医院的专家巡诊,遂找到在峪口中心卫生院出诊的友谊医院心内科何晓全医生就诊。
此次与死神赛跑的胜利,正是何晓全医生在峪口中心卫生院出诊期间及时发现刘大爷的危重预警信息并成功干预的结果。这种“院包区”支援机制,大医院专家深入基层一线,及时发现危重患者并进行有效干预,为患者赢得抢救时间,挽救了患者生命。
2022年,为加快促进北京市乡村医疗卫生振兴,提升乡村医疗卫生服务能力,北京市卫健委基层处启动了《二、三级医疗机构到农村地区巡诊项目》(简称巡诊项目),项目由北京市社区卫生协会具体承办。两年来,巡诊项目以“院包区”、“线下+线上”的组合支援方式开展工作。目前北京市共有11家三级医院“院包区”支援10个远郊区。截至今年5月,支援三级医院累计已有1200余人次专家为35家乡镇卫生院提供对口支援,为11000余人次的农村患者提供门诊、巡诊、义诊、查房等服务。通过巡诊项目“线下-乡镇卫生院出诊”+“线上-互联网健康乡村门诊”,真正使农村居民在家门口即可享受优质、便捷、高效的卫生健康服务,急危重症患者通过社区绿色通道可以快速转诊到三甲医院就诊。同时,乡镇卫生院医生通过专家出诊、病例交流提高自身业务技能,可以更好地为居民提供医疗服务,农村居民的就医获得感和满意度得到实质性提升。


微博
微信


京公网安备11010202008305号